CASOS CLINICOS

ORTODONCIA INVISIBLE

ORTODONCIA PACIENTE

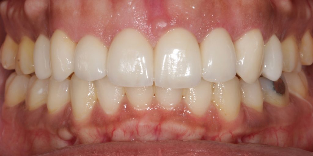
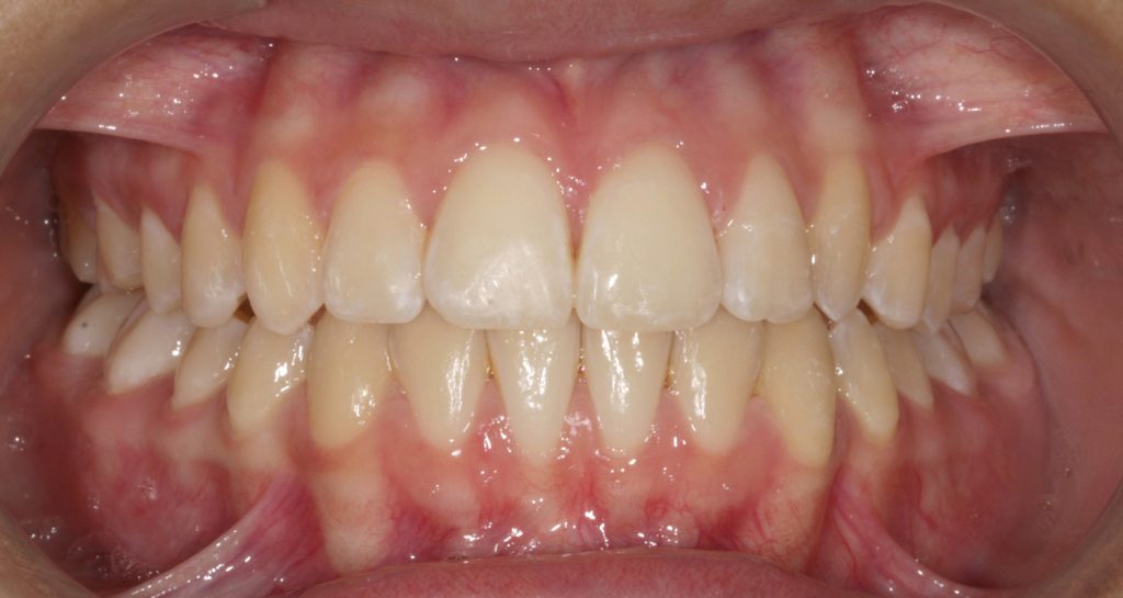
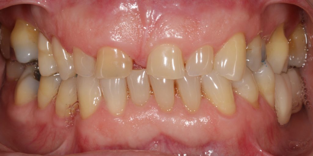
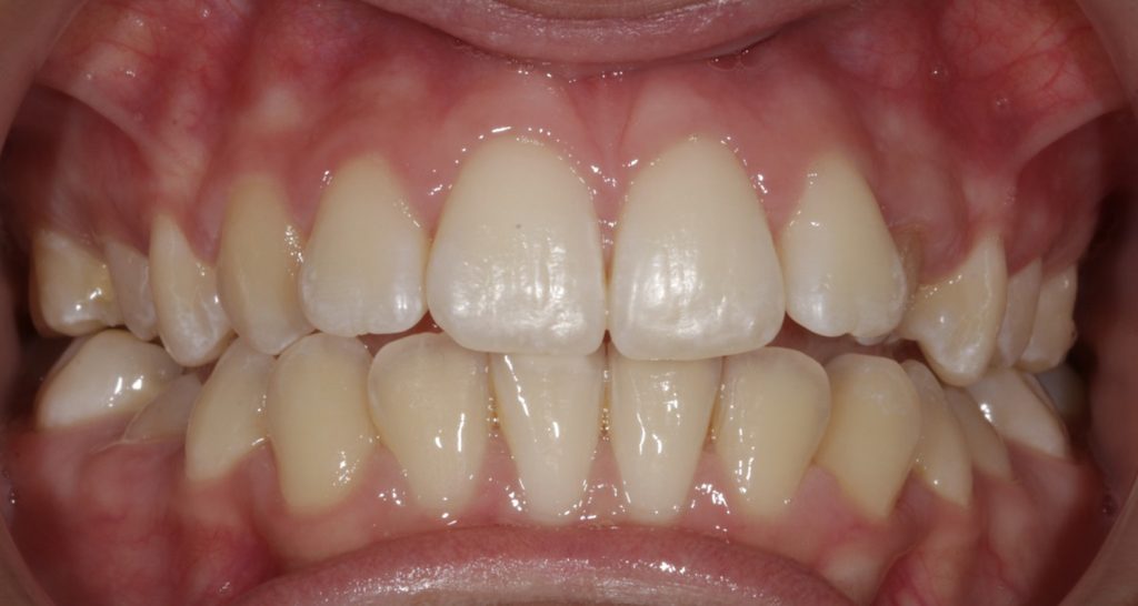
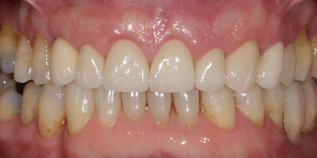
Paciente que presenta maloclusión dental y una enfermedad periodontal del adulto. Además, muestra mucha cantidad de encía al sonreír. Después de realizar su tratamiento y control de las encías, comenzamos con su tratamiento ortodoncia. Una vez finalizado su tratamiento ortodóncico, procedemos a realizar un diseño de sonrisa (DSD), observando cuanta encía debemos recortar y cuál será la forma y tamaño de sus futuras restauraciones de cerámica. Finalmente observamos el resultado obtenido después de su tratamiento de encías, ortodoncia y carillas de porcelana.

ANTES
ortodoncia invisible antes y despues
ortodoncia invisible antes y despues
DESPUÉS
ortodoncia invisible antes y despues
ortodoncia invisible antes y despues

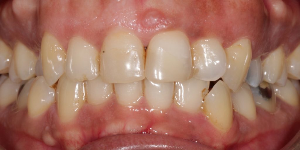
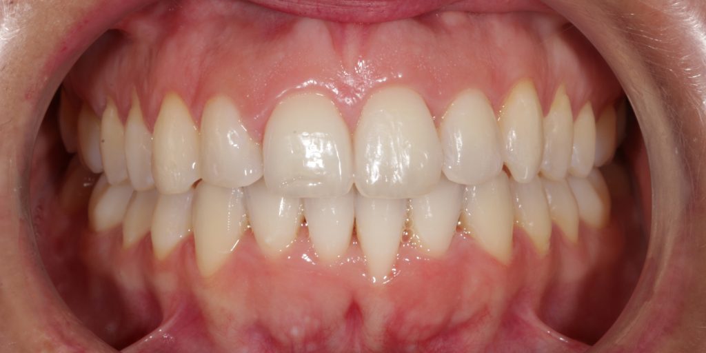
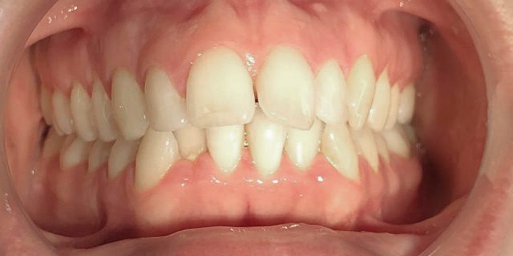
Paciente que presenta una maloclusión dental donde podemos observar el enorme diastema (espacio entre dientes) entre los incisivos centrales, además presenta un gran desgaste de todos sus dientes. Para poder rehabilitar el caso, nos ayudamos del tratamiento de ortodoncia para cerrar el espacio entre los dientes, para colocar un implante en la zona del colmillo y para obtener el espacio suficiente para la colocación de fundas de circonio. Devolviéndole al paciente un tamaño de diente proporcionado a su sonrisa.

ANTES
ortodoncia invisible antes y despues
ortodoncia invisible antes y despues
DESPUÉS
ortodoncia invisible antes y despues
ortodoncia invisible antes y despues

Paciente de 14 años Clase I esquelética con presencia de algunos dientes primarios presentaba una tendencia a la mordida abierta anterior sin resalte e incisivos superiores e inferiores abanicados en nuestra clínica en manos de nuestra ortodoncista Dra. Suarez y con el sistema de ortodoncia invisible hemos conseguido estos resultados.

ANTES
ortodoncia invisible antes y despues
ortodoncia invisible antes y despues
DESPUÉS
ortodoncia invisible antes y despues
ortodoncia invisible antes y despues

Paciente de 34 años de edad Clase II esquelética con apiñamiento, arcadas estrechas. Arcada superior en forma triangular, incisivos superiores proinclinados, resalte aumentado, periodonto fino y recesión de incisivos inferiores.

ANTES
ortodoncia invisible antes y despues
ortodoncia invisible antes y despues
DESPUÉS
ortodoncia invisible antes y despues
ortodoncia invisible antes y despues